Yuri Ovchinnikov Lecture
Human Retroviruses: Linkage to Leukemia and AIDS
 
R. C. Gallo and L. S. Nerurkar     Hämatol. Bluttransf. Vol 35

Laboratory of Tumor Cell Biology, Na tional Cancer Institute, National Institutes of Health, Bethesda, MD 20892, USA.

Introduction and Background

This review will discuss interactions of retroviruses with the cells of the hematopoietic system. Such interactions have been studied in the past as tools to insert genes in the cells to study their regulation or to study cellular and molecular basis of transformation in vitro. The emphasis of this review will be on viruses which cause diseases, particularly in man. A decade ago there was no general acceptance of the concept that genes were critical to leukemias and lymphomas or to disorders of hematopoietic cells. In a somewhat analogous way there was also a general feeling that viruses did not cause human cancers, and that retroviruses, in particular, did not exist in human beings. We now know that viruses, either directly or indirectly, either as a cofactor or as a direct cause, playa role in more than 40 % of human cancers. We have also learned that human retroviruses do exist and in multiple types. During the 1970s, there was also a feeling in the United States that serious or fatal, epidemic or pandemic diseases were things of the past. Infectious diseases that would become global epidemics were no longer a problem for the so-called "industrialized nations." Such diseases were really a problem for the less-privileged nations. We had preventive and curative measures like vaccines and antibiotics in addition to better sanitary conditions and public health measures. In retrospect, we should have remembered that the last great pandemic that affected the United States, Europe and the world was only about 70 years ago. It was the great influenza epidemic of 1918 -1920. And if one reviews the history of microbiology, there were often periods where epidemics disappeared and mysteriously reappeared after more than 60 or 70 years, or even for 100 or 200 years. Perhaps we were overconfident in thinking that epidemics belonged to the past: an epidemic or pandemic of the acquired immunodeficiency syndrome (AIDS) as now been with us for a decade. There was also a feeling that pandemic diseases were not possible unless the causative agents or the microbes were casually transmissible. We now know that we have a pandemic of AIDS and the agent is not casually transmissible, but transmissible only by close contact and with the exchange of body fluids. The failure to appreciate the coming of these events was probably because of the failure to remember some of the lessons of past medical history; that often there are major changes in diseases following some major changes in the society. The major changes in the post- World War II era were: a great increase in air travel; the use of blood and blood products, often going from one nation to another; the insane habit of intravenous drug abuse; and the increase in sexual contacts. All these things made it possible to transmit something that was remote or rare so that it become relatively common and global. Comparing the epidemics of the past, the AIDS epidemic is not particularly novel, nor is the response to the epidemic by the public as is often portrayed by the media. The only novel feature of this epidemic is the nature of the microbes that are causing the epidemic. The novel properties of these microbes are: they are newly discovered (but are not new); they are microbes that are often difficult to find because they do not replicate much or do not infect many target cells; they are only produced by the infected cells, primarily during the proliferating phase of the cell's life cycle. In fact, this is true for all human retroviruses. For the same reasons that they are difficult to find, the viruses are difficult to transmit. Almost always, they have a very long latency period. This is an important characteristic and has allowed their transmission to become global as they are present in the host from the time of infection until death (lifelong infection) and during that period can be transmitted to others. This is a major difference between retroviruses and other viruses, which we tend to think are transmitted while a person is sick or in the early phase of incubation, which can be a few days, a few weeks, or at the most a few months. The very long latency period of retroviruses means that it may be several years or several decades from the time of infection before the first manifestation of disease will be noted. They often cause serious diseases, e.g., central nervous system disease, malignancies, and immune deficiency. These agents have thus become increasingly important because of the serious and often fatal consequence of their infection.


Discovery of Human Retroviruses

There are four human retroviruses well characterized by now [1-3]. Human TIymphotropic (leukemia) virus type I (HTL V -I) was found by Gallo and coworkers in the late 1970s and first reported in 1980. Its relative, HTLV-II, was also found in our laboratory a year or two later. The human immunodeficiency virus type 1 (HIV -1) or AIDS virus causing the epidemic we now face was found in 1983 by Barre-Sinoussi et al. at the Institute Pasteur [4] and established by our laboratory as the cause of AIDS in early 1984 with many isolations of the virus and the development of the blood test. The related virus from West Africa, called HIV -2, is neither as pathogenic as HIV-1 nor is it spreading like HIV-1. It appears to be almost limited to West Africa. The technology developed in the 1970s, particularly, the sensitive assays for reverse transcriptase (R T), was crucial for the discovery of human retroviruses. The discovery of R T, by Temin [5] and independently by Baltimore [6], was quickly extended by the finding of a similar enzyme in human leukemic cells from unusual cases by Gallo and his colleagues during the 1970s [7]. Enzymes from at least four or five patients which had the properties of the viral enzyme were partially purified. More important was the development of synthetic template primers, e.g., synthetic polymers (oligo-dT -poly-A and oligo-dG-poly-C) that made the assays for these enzymes specific and sensitive. This improved the detection of retroviruses several-fold compared to the electron microscopic method used for decades. Also, the assay using RT is much simpler and cheaper and can be done continuously while the culture is ongoing. Electron microscopy does not offer that possibility. Retroviruses, including those affecting humans, complete their replication cycle much more efficiently during the proliferating phase of that cell's life cycle. R T assays performed continually on the cells in culture can reveal short-term viral replication which otherwise may be missed by electron microscopic techniques. The second important technology was the ability to grow human T cells, particularly with interleukin-2 (IL-2), discovered by Morgan, Ruscetti and Gallo in 1976 [8]. Developments in the field of immunology such as monoclonal antibodies have allowed defining subsets of lymphocytes by surface markers or by other assays to understand different functions of T -cell subtypes. A third factor contributing to the discovery of human retroviruses is the fact that they spread globally in the 1960s and the 1970s, and became much more common. We believe that this may have increased the chances of detecting and isolating them considerably. And the last point which is worth mentioning was the perseverance in looking for them, even though most scientists did not think they existed.


Classification of Human Retroviruses

Human retroviruses belong to two entirely different subclasses which differ in their morphology, some aspects of their genomic organization, and some aspects of their biology. The HTLVs belong to the more classic type of animal retroviruses known in most species as type Cor oncorna retroviruses, whereas the HIVs belong to the category known as lentiretroviruses. "Lenti" is not an accurate term, as it means slow. HIV does not replicate slowly compared to HTL Vs. HTL Vs are much more slowly replicating viruses, and thus the class names can be misnomers. Until the discovery of HIVs, lenti-retroviruses were only known to occur in ungulates, the hoofed animals like horses, sheep, cows, and goats [9]. One has to be careful in not drawing too much of an analogy between HIV and these ungulate lenti-retroviruses. However, there are some common characteristics, e.g., they infect cells of the macrophage lineage and morphologically their core structures appear similar. But there are major differences in other aspects. F or example, some of the ungulate lentiretroviruses can be transmitted casually. The visna virus of sheep is thought to be transmitted by fomites in crowded sheep that are herded together in a closed environment. None of the ungulate lentiretroviruses target CD4 + T lymphocytes and they are not known to be associated with the increased frequency of the devel opment of a malignancy. More recently, we have other animal models, particularly the simian models, in which lentiretroviruses have been isolated that are closer to the humans [10].

Morphology.
The size and shape of HTL Vs and HIVs are roughly the same. However, the core structure of the leukemia viruses is much different from that of the AIDS virus. The latter is much more condensed and cylindrical in shape compared to that of the leukemia viruses (see Fig. 1).

Biological Properties.
The HTL Vs and HIVs show many parallels in their biological characteristics. Both viruses infect CD 4 + T lymphocytes but they vary in the consequence of infection. The overall effect depends on the extent of virus replication and on the functions of some of the genes the virus carries. HIV-1 infection kills the CD4 + T cells. HIV -2 essentially behaves in a similar manner. On the other hand, HTL V -land HTL V II, like most animal retroviruses, have no lytic activity on their target cells, but can alter the function of that cell. Some infected T cells become immortalized in vitro and may contribute in the same manner to the development of leukemia in vivo. Both classes of viruses remain latent in the patient or in the cell for their lifetime. Another feature both HIVs and HTL Vs have in common is the tight control of the DNA-integrated provirus. Following the infection of a CD4 + T cell by these viruses there is integration of their DNA forms into the host chromosomes, but the DNA forms do not induce expression of RNA or proteins. So an infected cell will have no viral RNA or viral protein immediately after infection. This means that the immune system cannot find the infected cells. This is one way these viruses escape the immune system. Other mechanisms which allow these viruses to escape are, for example, by infecting the brain and by undergoing considerable genomic variation from isolate to isolate (particularly in the case of HIV).



Fig. I. Morphological structures of HTL V -I, HTLV-II, HIV-l, and HIV-2.
The top panels represent thc budding from the cell membranes,
the bottom panels show the cross section of the mature virons

In addition, HIV destroys the cells of the immune system which are crucial in the immune surveillance itself, thereby escaping the immune attack. When the T cells are immune-stimulated, perhaps by another infection, the viral genes become active along with a variety of other cellular genes and viral proteins are expressed on the cell surface. This allows the immune system to see the infected cell. Such immune clearance may be too late. The virus released from such cells infects other cells. In this manner, the HIV -infected host who has other chronic infections is more likely to spread this virus.

Modes of Transmission.
The HIVs and the HTL Vs have common modes of transmission. They are transmitted by blood or sex and from mother to child. For HTL V -I, males chiefly get infected from their mothers, and women chiefly get infected from their male sexual contacts. The mode of transmission from mother to child is in utero, transplacentaly as well as by milk or in the actual birth process. Blood transfusions and the use of blood products are, of course, also modes of transmission of both viruses, the major target cell being the CD4 + T cell [11].

Analogous Animal Retroviruses.
The closest relative of the human leukemia viruses, called simian T -cell leukemia/lymphoma viruses, are found in African monkeys [12, 13]. They are not found at all in New World monkeys, i.e., in monkeys from the North American continent and those from Asia [14]. But the viruses in African monkeys are closer to the human viruses than to those from Asian monkeys. Similarly, the closest relative of HIVs are also found in African monkeys. No relatives of HIV have been found in New World or Asian monkeys. Because of the fact that the closest relatives of all human retroviruses are present in African primates, the ancestral origin of these viruses is almost certainly African. That does not mean that the recent epidemic of AIDS came from Africa. As far as one can tell, the epidemic of AIDS began almost simultaneously in parts of Central Africa, some of the Caribbean islands, particularly Haiti, and the United States, and perhaps in Europe.


Geographical Distribution of HTLV -I

HTLV -I transmission is extremely tightly controlled and if one did not have a handle on the virus (virus isolation or virus detection using probes ), the diseases it causes, e.g., leukemia or neurological diseases, could be mistakenly thought to be genetically inherited. HTL V -I is endemic in Subsaharan Africa. It is not present in all parts of Subsaharan Africa, but seems to be restricted to certain tribes or geographical areas and is not casually transmitted. HTL V -I is also endemic in the Caribbean basin, including the northern part of South America, Central America, most of the Caribbean islands, and parts of the southeastern United States. Some Caribbean islands do not have any HTL V-I. It depends on where in Africa the island inhabitants have their origin. If the ancestral tribe is positive, then the descendants in some Caribbean islands are positive. Similarly, if the ancestral tribe is negative, then the descendants in another Caribbean island are negative for the most part. HTL V-l is also endemic in the southern islands of Japan in Shikoku, Kyushu, Okinawa, and other neighboring islands. Seroepidemiologic studies have suggested that clusters of HTL V -I, or a virus like it, are observed in some villages in Spain and in southeastern Italy in a region called Apulia. Manzari of Rome and Varnier of Genoa believe that the virus in Apulia in southeast Italy is endemic. It is not a coastal introduction from outside in recent times; rather, it is found in the people living in the interior hills. Recent molecular analysis studies of some of the isolates from that region indicate that it is not the classic HTLV-I, but may be another retrovirus related to HTLV-I. There have been clusters of HTLV-Irelated leukemia reported in Amsterdam and London in migrating populations from the Caribbean. The rate of developing leukemia after HTL V -I infection is identical in populations which have migrated and in the nonmigrating population, indicating that no other environmental factor is needed for the cause of leukemia, at least as far as the epidemiology can determine [11]. For a great part of the world, we have very little data. For example, we do not know very much about infection by HTL V -I in the Soviet Union.


Nature of the Diseases Caused by HTLV-I Leukemia.

The picture of the first patient from whom a retrovirus was isolated is given in Fig. 2. This patient was a young black male and came from the southeastern part of the United States. He had no interesting past history, either medical, familial, or occupational. He developed a severe acute T -cell malignancy of the CD4 + T lymphocytes. The skin manifestation in this disease is due to infiltrates of leukemic cells in the skin, which is a common feature in this disease [15, 16]. Frequently, there is high blood calcium, which can lead to death of the individual. Liberation of some lymphokines is suggested as a possible molecular mechanism for high blood calcium [17]. There is also an increased incidence of opportunistic infections and slight immune impairment can be observed in infected people. However, when a disease begins to develop, the course is very rapid. It resembles the chronic myelogenous leukemia going into blast crisis. Death usually follows in less than 6 months. These manifestations of the disease are common, occurring in about 70 % 80% of people who have leukemia with HTLV-1. Another 20%-30% show a more chronic course, and the diagnosis is of chronic lymphocytic leukemia of a CD 4 + T -cell type, mixed cell lymphoma, or histiocytic lymphoma of a CD4 + T cell type. So, in any CD4 + T -cell malignancy, one has to consider the possibility of HTL V -I, and particularly if the disease is as aggressive as described above.

Neurologic Disease.
It is now known that HTLV-I also causes a serious and fatal progressive neurologic disease which is similar to multiple sclerosis but can be distinguished from it. There is some confusion in this area because some



Fig. 2. The first patient with T-cell leukemia caused by HTLV-I

laboratories have reported HTLV –l or a closely related virus as being involved in multiple sclerosis itself. The data are not consistent from laboratory to laboratory. More evidence is required to implicate HTLV-I or a relative of HTLV-I in playing a definitive role in multiple sclerosis. However, the neurologic disease that has been called tropical spastic paraparesis or Jamaican neuropathy, and sometimes misdiagnosed as multiple sclerosis or a variant of multiple sclerosis, is certainly linked to HTLV-I [18], although the disease mechanism is not understood. The HTLV-I-associated disease differs from multiple sclerosis in that it does not have exacerbations and remissions like multiple sclerosis: it is progressive. It is characterized by incontinence of the bladder, impotency in males, loss of bowel function and spasticity of the lower extremities. The disease can occur rapidly after infection with HTLV-I. It appears to depend on the dose of the virus. There is a recent report of a Frenchman who received a transfusion with HTL V -1positive blood, developed the neurologic disease in 5 weeks, and transmitted the virus to his wife during that period. This implies that all of the blood supply should be tested for HTLV-I as well as for HIV [19]. However, the neurologic disease could take many years to develop and there is some indication that genetic factors are important. There are some reports from Japan showing an HLA class 2 association and that certain patterns have an increased frequency of developing the neurologic disease. A known fact is that the virus is not found in the central nervous system tissues, e.g., brain cells or cells of the spinal cord, but only in the cerebrospinal fluid. The other known facts are that people who develop the neurologic disease have a very high titer of antibody, much higher than the healthy carriers or the leukemic patients. Even more interesting are the recent results of Jacobson, McFarlin, and their coworkers, who describe high levels of cytotoxic T lymphocytes reactive

Table 1. Diseases caused by or associated with human retroviruses

I. Adult T-cell leukemia (ATL)
2. Occasional other T 4 leukemias/ lymphomas
3. Tropical spastic paraparesis (TSP) or HTLV-associated myeloneuropathy (HAM)
4. Mild immune impairment
5. Polymyositis
6. Rheumatoid arthritis-like disease (?)
7. Retinitis (?)
8. B-cell lymphocytic leukemia (B-CLL), indirect (?)
9. AIDS progression, possible role as cofactors
10. Guillain-Barre syndrome
II. Chronic lung disease
12. M-proteinamia
13. Chronic renal failure

against tax and env gene products [20]. This has led to the speculation that the immune response to the virus produces an autoimmune disease. Recent reports indicate that HTLV-I is also involved or linked epidemiologically to other diseases listed in Table 1.
Genome of HTL Vs.
Like any retrovirus, HTL V -I has long terminal repeat sequences at each end. These sets of nucleotides are involved in regulation of the viral gene expression and form sites of covalent attachment to cellular sequences on each side of the integrated provirus. Like any animal retrovirus, it has the three genes for structural proteins, the gag gene for the viral core proteins, the pol gene for the enzymes, including R T, and the env gene for the envelope (Fig. 3). These give the retrovirus the ability to reproduce itself. When the molecular analyses of HTL V-I and HTL V-II were completed, it became evident that they have new genes present at the 3' end of the genome. Originally, one of the genes was called tat, but with the revised terminology, this gene is now called tax. The tax makes a 40000-dalton protein localized in the



Fig. 3. Genomic structures of human retroviruses

nucleus or the infected cells. The rex is the second gene in the 3' region of HTLV-I and HTLV-II. These genes are coded from two segments of the genome and are products of doubly spliced messenger RNAs. This phenomenon (double or even triple splicing) was new in human retrovirology. It was soon realized that the protein products of these genes are absolutely essential for the replication of HTL V -I and HTL V -II. They are also essential for the biological activity of these viruses. The products of the gag, pol, and env genes are formed from unspliced or singly spliced messenger RNA molecules. This is similar to what was known among animal retroviruses.

Replication Cycle of HTLVs.
The replication cycle of HTLVs can be divided into two parts (Fig. 4). The first part, like any animal retrovirus, involves a phase of attachment to the cell membrane. The receptors for HTL V -lor HTL V -II are unknown, as for most of the animal retroviruses. However, the chromosomal site of the HTLV-I receptor has been determined [21]. Following the attach ment, fusion of the viral envelope with the cell membrane occurs, followed by emptying of the viral core into the cytoplasm of the cell. The viral RNA is transcribed in the cytoplasm, with formation of the double-stranded linear DNA, which then enters the nucleus and integrates into the chromosomal DNA. With most animal retroviruses, after provirus integration into a permissive target cell, virus replication and its expression start immediately. There are sufficient cellular factors, and sufficient viral and cellular machinery allowing quick transcription of the DNA provirus, to reform viral RNA in the nucleus. The viral RNA then traverses to the cytoplasm and assembles at the cell membrane with viral proteins that have been formed by translation of unspliced or singly spliced messenger RNAs in the cytoplasm. The viral proteins are processed, particularly by cleavage through viral and cellular proteases (the former for viral core proteins, the latter for viral envelope proteins). After assembly, budding and release of the newly formed virions completes the replication cycle of the viruses.



Fig.4. Life cycle of HTLV-I and HTLV-II

HTLV-I and HTLV-II have introduced a new complexity into our understanding of the replication cycle. and that complexity relates to the events which take place in the nucleus. In order to have successful transcription of the DNA provirus to viral RNA, first there is the expression of an early gene product. This phenomenon, although known in some DNA viruses, was newly discovered in retroviruses. The first genes to be expressed are tax and rex (Table 2). What turns on the expression of tax and rex is unknown, but the tax gene product (T AX) is essential for the early transcriptional events to make the viral RNA. The function of the rex gene product (REX) is not only newly observed in retrovirology, but it has introduced some new mechanisms into all of molecular biology. The REX protein is involved in removal or transport of the messenger RNAs for the viral structural proteins, i.e., the messenger RNAs that are unspliced or singly spliced. In other words, in the absence of REX, the only messenger RNAs that are made are the messenger RNAs that are doubly spliced, i.e., the messenger RNAs for rex and tax. But once the REX protein is made, the formation of the unspliced RNAs or the singly spliced RNAs for the viral structural proteins is favored. This is an interesting mechanism because once the REX protein is made, it down-regulates its own expression. It also down-regulates tax and allows the formation of the viral proteins so that there is a sudden release of virus during this narrow window in which these human retroviruses have to complete their cycle. This mechanism is evident even in HIV but not in the lenti-retroviruses of animals. This may suggest a convergent evolution of mechanisms for infection of human T cells by two entirely different classes of human retroviruses.

Mechanism of Leukemogenesis.
TAX protein plays an important role in leukemogenesis. It acts in trans and is involved in the mechanism of transcription of viral RNA. T AX protein also activates cellular

Table 2. Accessory genes of human retroviruses



genes indirectly. It complexes to some cellular proteins and transcriptional factors that are involved in the turning on of genes important for T -cell proliferation such as those for IL-2 and IL-2 receptor (IL-2R) [22, 23]. It is somewhat ironic that the protein (IL-2) used to grow T cells to isolate the virus is the very protein that the virus uses or turns on in its first stages of leukemia. At least this is the way we think about it today. The T AX protein is also involved in turning on other cellular genes, e.g., the c-fos protooncogene. The development of adult T cell leukemia (A TL ) by HTL V -I is summarized in Fig. 5. Perhaps about one third off cells may be infected by HTL V I, but only a small fraction expresses the virus



Fig. 5. Development of adult T-cell leukemia .

The immune system cannot see the cells which do not express the virus and cannot attack them. At some stage, the tax gene is turned on. What exactly leads to the turning on of tax is unknown, but once it occurs genes for other viral proteins can be turned on. The tax gene also turns on the IL-2 and IL-2R genes. The IL-2R has a complex structure and is made of different polypeptides. The high-affinity polypeptide of IL-2R that binds best to IL-2 is activated by tax. This may lead to autocrine and paracrine phenomena allowing polyclonal T cell expansion. At this stage it is not a malignancy but it can be documented in many people infected by HTL V -I. The immune system attacks and clears the proliferating cells expressing viral proteins. The cycles of appearance and clearance of virus-expressing cells occur for years and maybe for decades. The virus continues to increase the expansion of proliferating T cells. As estimated recently in Japan, 3%-5% of the infected individuals will be able to develop monoclonal expansion of a T cell within their lifetime, most likely mediated by another as yet unknown genetic event. This event could be an accident, a mutation, or a rearrangement, but appears to be a chance event ultimately leading to true leukemia. A third genetic event which leads to the blast crisis may be necessary, analogous to chronic myelogenous leukemia. There is no complete agreement on specific chromosomal changes to account for the second or the third event. There are some that are common, but not consistent.


HIV-l and AIDS

The idea that AIDS might be caused by a CD4 + T -cell Iymphotropic retrovirus came from discussions between R. Gallo and M. Essex and his colleagues in Boston who had worked on feline leukemia virus. Discovered in the 1960s by W. Jarrett et al. [24] in Scotland, it was shown by W. Jarrett, 0. Jarrett, and others [25] that feline leukemia virus can be transmitted horizontally and cause immune deficiency as well as leukemia. Essex, in his epidemiologic studies in the early 1980s, highlighted the greater importance of this feline virus in immune suppression than in causing leukemia, whereas Gallo suspected from the experiences with HTL Vs a possible involvement of a retrovirus in AIDS. These experiences were: studies of HTL V -I epidemiology showed that the AIDS virus was, like HTL V -I, endemic in Central Africa; the causative agent, like the HTL Vs, targeted CD4 + T cells; the modes of transmission by sex, blood, and the maternal/fetal route were similar; AIDS was associated with immunosuppression and the HL TVs can be immune suppressive (although modestly); HTL V II had just been discovered, providing impetus to the idea of there being more human retroviruses. All these things led to thoughts that a new human retrovirus existed perhaps derived from a mutation or a recombinant change in an HTLV-I emerging from Africa, moving to Haiti and then to the United States. This was the notion that led people, ourselves and scientists in Paris, to look for anew retrovirus. However, ironically, we soon learned that, though AIDS is caused by a retrovirus, the virus is not a variant of HTLV-I or a recombinant with HTLV-I, but is due to a different category of human retrovirus(es) that simply has (have) many properties in common, although with a much different genomic organization as well as classification. There are several components of the overall pathogenesis of AIDS, the major one being the immune deficiency with opportunistic infections. Because of the lifestyle of the individuals there is an increased incidence of infection with real pathogens which include mycobacteria, herpesviruses, HTL V s, and hepatitis and papilloma viruses. In addition, there is infection of the brain in 40% -50% of infected people. Subsequent to infection of the brain, there is a thinking disorder and some acute psychosis. The development of two types of tumors is very common (Kaposi's sarcoma and B-cell lymphoma) and must be thought of as involving mechanisms distinct from the other manifestation of AIDS.

Immunodeficiency.

The essence of the AIDS problem is immune suppression and immune deficiency. Part of the envelope of HIV, the gp 120 molecule, interacts with the CD4 molecule. This interaction has been described as being much tighter and with much greater affinity than many antigen-antibody interactions. The CD4 molecule is expressed on the surface of cells that are important for the immune system, including T helper lymphocytes, peripheral blood monocytes [26, 27], and cells of the macrophage lineage such as microglial cells of the brain [28], Langerhans cells of skin [29], which are widely distributed in the body, and the follicular dendritic cells of the germinal center of the lymph nodes; this allows the AIDS virus, immediately upon infection, to alter the most pivotal cells of the immune system. An idea to use the soluble CD4 in therapy of people who are infected has already been launched and animal systems are being investigated for that purpose. To use CD4 as a molecular decoy to bind virus before it finds CD4 on the cell surface seems to be the most rational approach to the therapy of this disease. Unexpectedly, however, CD4 is rapidly excreted by humans, and so the results have been extremely disappointing. Much research in the United States and Europe is focused on modification of CD4; for example, Genentech's use of immunoglobulin attached to the CD4 molecule seems to prolong the half-life of CD4, diminishing its rate of excretion.

Genomes of HIVs.
The genomes of HIV -1 and HIV -2 are significantly more complex than that of HTLV-I or HTLV-II (Fig. 3). In addition to the three genes that all retroviruses have, gag, pol, and env, HIVs have two regulatory genes called tat and rev which are analogous to the tax and rex genes of HTLV -I and HTLV-II and are absolutely essential to the replication of HIVs and probably critical to the biological ability of HIVs to cause AIDS or other manifestations. Many other genes are discovered in the genomes of the AIDS viruses: vir, which is essential for cell-free infection by these viruses; vpr, which was recently found in our laboratory to be essential for infection of primary human macrophages, but not T cells; vpu, whose function is not yet well known; nef which is controversial as to whether it does nothing to virus replication or slightly down-regulates it; and at least two more genes discovered in the last year or so, particularly by Haseltine and his colleagues, whose functions are not yet well understood (Table 2). The early steps of the life cycle of HIVs are the same as those of animal retroviruses (Fig. 6) and involve attachment and penetration of the virus into the target cell. It is known that the CD4 molecule is the receptor or at least part of the receptor for HIV. Once HIV penetrates the CD4 + T cell, RNA to DNA transcription and DNA integration into the cell follow. Actually, it is not established whether HIV provirus integrates into macrophage. Like HTLV-I and HTLV-II, following integration, there is a silent or latent period even for HIVs. After T -cell activation due to any stimuli, expression of the DNA provirus takes place to form viral RNA and viral proteins. The products of the tat and rev genes have the same kind of functional corollary as those for tax and rex of HTL Vs. They act as regulatory switches in the replication cycle. In the long silent period after infection nothing happens to the cell if virus is not expressed. But if that cell is immune-stimulated the replication cycle is completed. The virus comes out in a burst, and the cell dies. So, contrary to the notions of some, that retroviruses can not be cytopathic and cytolytic, HIV is certainly cytopathic. Actually, the earlier work of Howard Temin with avian retroviruses also showed the cytopathic and even cytolytic nature of some of those vIruses.



Fig.6. Life cycle of HIV-l


Mechanisms of HIV Pathogenesis

Role of HIV and HIV Proteins. The question is often asked "Why do the CD 4 + T cells become depleted in AIDS?" HIV may be involved in direct killing of infected T cells. HIV also has the capacity to form multinucleated giant cells. When the virus is forming, the envelope protein gp 120 is on the cell surface. If there are uninfected cells nearby expressing the CD4 molecule, there will be binding and fusion of the two cells; and this can give rise to fusion of literally several cells together. Such cells have aberrant function and die prematurely. Based on the laboratory observations, one can speculate on other ways which could account for the CD 4 + T cells depletion. Extrapolation of these to the in vivo situations may still be remote. It is important to mention that the gp 120 falls off the virus easily. In vitro studies show that the gp 120 can interfere with T -cell activation. It can also lead to the down regulation of IL-2 expression in uninfected T cells when this protein binds to CD4 molecules. There are still other indirect mechanisms that could permit the depletion of T cells (see Table 3).

Escape from the Immune System.
The infection of the macrophages by HIV shows a very unique feature, namely, infectious whole virus in vesicles inside the cytoplasm of the cell [26]. This happens in only a small fraction of all macrophages. The important question, however, is: "What if the immune system attacks this cell and destroys it?" Would there be a release of more infectious virus? In laboratory studies the answer is yes. If we take an infected macrophage and we break it manually or by attack from cytotoxic T cells, more infectious virions are indeed released. Therefore, immune therapy that kills infected macrophage must also consider the need for a direct antiviral attack, for example, azidothymidine or neutralizing antibodies. Neutralizing antibodies against the HIV -1 work by complexing to a certain region of gp 120 and blocking entry into the cell.


Table 3. Mechanisms of CD4 + T -cell depletion in AIDS

1. Direct killing by HIV foIIowing immune stimulation and virus expression
2. CeIl death foIIowing syncytia formation
3. Decreased IL-2 production
4. CeIl-mediated cytotoxicity against uninfected ceIls mediated by free gp120 complexed to CD4 and antibodies against this complex
5. Some viral protein products inhibit T -ceIl proliferation
6. Another virus, HHV -6, upon rep1ication is T4 cell-lytic; HHV-6 is common in HIV -infected peop1e and may replicate more in them
7. Defective antigen presentation leads to lower T4 ceIl proliferation
8. Inappropriate release of certain cytokines, e.g., tumor necrosis factor-alfa, can decrease T -ceIl pro1iferation
9. The gpl20-specific class ll-restricted cytotoxic lymphocytes can lyse activated (la+), autologous, uninfected T4 lymphocytes. The CD4 receptor-mediated uptake of gp120 is a critical event for this lytic process. This mechanism could aIlow destruction of a large number of activated lymphocytes responding to many pathogens


Virus Variation.
Another important question is "Why does the HIV-infected person continue to spread the virus?" We know that HIV varies from person to person. We discovered in 1984 the heterogeneity of HIV for the first time [30]. We found that no two viruses were the same, and the variation was up to 4% 15% in the genomes of different HIV variants. The variation was predominantly in the envelope region. We also showed later that within anyone virus isolate there are minor variants. That is to say, if you isolate the virus from one person with AIDS, although most of the viral particles will be very closely related, there is still some variation. And this, in time, has been shown to have biologic significance [31]. For instance, in one virus strain there are many virions with minor differences. At time zero, one variant may predominate and the neutralizing antibody could neutralize almost all of this virus variant. Some time later, another minor variant, perhaps with as little as one amino acid change in the envelop, may emerge, and this may not be neutralized by the original antibody. We have been able to study this in a laboratory worker who, while mass-producing the virus in another laboratory, was infected by accident. One can follow such a person in time. This seems to be an important way by which this virus continues to escape the immune system. Variantspecific antibody develops and can neutralize the virus; new minor variants then emerge, but are not neutralized. One would expect the variation to occur in the region of the neutralizing epitope which exists in the hypervariable region of the envelope. This is true not only with neutralizing antibody, but with cellular immunity as well. In addition to variation in this region, we have seen mutation in completely distant regions, e.g., in the transmembrane region of the envelope protein gp41. Such a mutation also affects the interaction of antibody with this site. More likely the mutations at a distance bring about conformational changes [32, 33].

AIDS and Cofactors.
In a small study of homosexuals in Trinidad, Bartholomew et al. studied dual infections with HIV and HTL Vs and concluded that HTL V-I may be a cofactor in AIDS [34]. There are additional reports now that agree with this, from Japan in hemophiliacs and from New Jersey with drug addicts [35]. HTL V -I is not needed to get AIDS at all, but the rate of progression may be accelerated in the presence of HTLV-I. Several mechanisms are possible. HTL V I can lead itself to minor T -cell impairment. The TAX protein of HTLV-I can also activate HIV if the cells are infected



Fig. 7. Killing of CD4+ T cells by HHV-6

with both viruses. In addition, HIV -1infected T cells can be activated by the simple interactions of HTL V -I with the cell membrane. We have also shown that HTLV-I and HIV can form mixed virus particles, which gives HIV the ability to affect cell types it normally could not affect [36]. The new herpesvirus, human herpesvirus type 6 (HHV -6), which we discovered and isolated in 1986 from B cells [37], actually principally infects CD4 + T cells. This herpesvirus can also kill T cells (Fig. 7) [38]. In the United States, 70% 80% of all people infected with this virus are seropositive. Therefore, in most people, it obviously causes no problem. It is the cause of roseola in babies, which is not a very serious disease. Adults who have antiviral antibodies and cellular immunity can control the replication of the virus. It is possible that in AIDS with immune impairment, there is increased replication of this virus. If so, one must consider damage to the immune system by direct killing of T cells by this virus. In addition, this herpesvirus can activate the HIV genome. It has a gene which makes a protein that can trans-activate the expression of HIV [39], analogously to the HTLV-I TAX protein. Finally, we recently showed that this human herpesvirus is, as far as we know, the only biological agent existing naturally that turns on the CD4 gene at the transcriptional level, and to our knowledge this is the first time it is known that one virus can turn on the receptor of another [40]. In CD8 + T cells and in some epithelial cells, infection by HHV -6 turns on CD4 so that they can become targets for HIV infection. All these aspects of HHV -6 lead us to propose that this virus may contribute to the impairment of the immune system in people already immune suppressed by HIV.



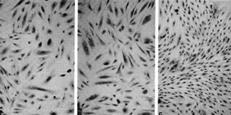
Fig. 8a-c. Spindle cells of Kaposi's sarcoma. a Culture in standard medium (RPMI 1640 plus FCS 15%). b Standard medium plus endothelial cell growth factor (ECGS) 30 µg/ml and heparin 45 µg/ml. c Standard medium plus HTL V -II CM (20% v/v) .(From [42], with permission; Copyright 1988 by the American Association for the Advancement of Science)



Fig. 9 A, B. Angiogenesis in chick chorioallantoic membrane. A Fixed (0.00125% glutaraldehyde) cells gave a negative result. B Metabolically active cells gave a strongly positive result. (From [42], with permission; Copyright 1988 by the American Association for the Advancement of Science)


AIDS-Related Kaposi's Sarcoma.

Since there has been a great increase in the incidence of Kaposi's sarcoma in HIVinfected people, more so in male homo sexuals, one can speculate that HIV infection plays some role. It is not known whether any new or unknown viruses playa role in AIDS-related Kaposi's sarcoma. We started to explore the possibility of other virus(es) but did not find any. In the process, we developed a system for studying Kaposi's sarcoma [41,42].



Fig. 10.
Lesion in nude mouse induced by Kaposi's sarcoma spindle cells (4 mio.metabolically active cells injected subcutaneously). Arrow indicates positive result. The left side was injected with fixed cells

The important thing that came out of our studies over the last few years is that we have a system in the laboratory for studying Kaposi's sarcoma. We can grow the spindle cells which are believed to be the tumor cells of Kaposi's sarcoma. Figure 8 shows the spindle cells derived from a person with Kaposi's sarcoma which were grown for several months in culture. We have several such cell cultures now. These spindle cells have been analyzed in collaboration with Judah Folkman and his associates from Harvard university [43]. They have the properties of primitive smooth muscle cells of vascular origin, as well as some properties of endothelial cells. We think then that the precursor cell of Kaposi's sarcoma is a mesenchymal, primitive precursor of cells of the blood vessel walls. Although we could not find any virus, particularly HIV-1, in these cells, it was found that they release a number of cytokines that have powerful angiogenic activity, which is a key feature of Kaposi's sarcoma. Figure 9 shows angiogenic activity released by the spindle cells grown in the culture tested in the normal chick chorioallantoic membrane [41]. One can take either the intact spindle cells or the concentrate of factors released from them and apply it to the membrane. Distinct angiogenic activity is observed in both instances. More interestingly, these spindle cells, when put into a nude mouse, cause a tumor similar to human Kaposi's sarcoma to develop (Fig.10). The lesion develops near the site of inoculation of the spindle cells within 10 days. When the spindle cells regress, the lesion dies out. We examined the lesion histologically. It appears like early Kaposi's sarcoma with blood vessel proliferation, fibroblasts,



Fig. 11. Different structural and functional domains of the TAT molecule infiltration with leukocytes, and spindle cells. .

The conclusion is that the spindle cells secrete factors that are responsible for the early lesion of Kaposi's sarcoma [42]. We have evaluated the cytokines it makes. It appears that IL-1 and basic fibroblast growth factor are the most important ones. These molecules can have angiogenic activity and promote growth of fibroblasts and endothelial cells directly or indirectly. In addition to these, other factors such as granulocytemacrophage colony-stimulating factor , tumor growth factor-ß, IL-6, and low levels of acidic fibroblast growth factor and platelet-derived growth factor are also detected [44]. The manner in which we succeeded in growing the spindle cells is interesting in itself. We grew the spindle cells by using Iymphokine(s) made by chronically activated CD4 + T cells. The major active Iymphokine for this effect is currently being purified in our laboratory and is the most potent growth factor for AIDS Kaposi's sarcoma spindle cells. In addition, we have found that the TAT protein is released in very small amounts (nanograms) by HIV-1-infected T cells and acts as a growth factor for the spindle cells [45]. The TAT molecule has different regions which are responsible for different activities (Fig. 11 ). We think one region is particularly important for the growth-promoting activity on the spindle cells [45]. This small protein of 10000 daltons is very complex. It has a region that is important for the tran.s-activation activity of the virus and a basic domain important for the nuclear localization. Human Retroviruses and Tumorigenesis The direct effects of a retrovirus like HTLV-I where the virus infects its target cell, can immortalize that cell, and makes it abnormal have been discussed earlier. We find the viral sequences in every cell in the sample place, indicating their clonal derivation from the original transformed cell. HTL V -I can thus be called a directly acting tumor virus. We refer to HIV as having indirect effects that can lead to the increased possibility of tumor development. HIV probably increases the possibility of Kaposi's sarcoma developing in at least two ways:
1) it infects T cells and releases TAT protein;
2) its proteins activate immune cells (T cells and B cells) which release lymphokines.



Fig. 12. Direct and indirect mechanisms of tumor induction by human retroviruses


Some of these lymphokines can have an effect on the primitive mesenchymal cell that has lineage to smooth muscle and endothelium and which is the precursor of the spindle cell of Kaposi's sarcoma. This cell in turn releases a series of cytokines that act to form a complex mixed tumor that we call Kaposi's sarcoma. In summary, human retroviruses can induce tumors, directly or indirectly, in addition to their suppressive effects on the immune system and abnormal effects on the nervous system (Fig. 12).


References

1. Gallo RC (1986) The first human retro virus. Sci Am 255: 88
2. Gallo RC (1987) The AIDS virus. Sci Am 256.46
3. Gallo RC, Montagnier L (1988) AIDS in 1988. Sci Am 259:41
4. Barre-Sinoussi F, Chermann JC, Rey F, et al. (1983) Isolation of a T-lymphotropic retrovirus from a patient at risk for acquired immune deficiency syndrome (AIDS). Science 220.868
5. Temin H, Mizutani S (1970) RNAdependent DNA polymerase in virions of Rous sarcoma virus. Nature 226: 1211
6. Baltimore D (1970) RNA-dependent DNA polymerase in virions of RNA tumor viruses. Nature 226:1209
7. Sarngadharan MG, Sarin PS, Reitz MS, Gallo RC (1972) Reverse transcriptase activity of human acute leukemic cells: purification of the enzyme, response to AMV 70S RNA, and characterization of the DNA product. Nature 240:67
8. Morgan DA, Ruscetti FW, Gallo RC (1976) Selective in vitro growth of T lymphocytes from normal human bone marrows. Science 193.1007
9. Narayan 0, Clements JE (1990) Lentiviruses. In: Field BN et al. (eds) Virology, Lentiviruses, 2nd edn. Raven, New York, pp1571-1589
10. Gardner MB, Luciw P, Lerche N, Marx P (1988) Non-human primate retrovirus isolates and AIDS. In. Perk K (ed) Advances in veterinary science and comparative medicine. immunodeficiency disorders and retroviruses, vol 32. Academic, San Diego, pp 171-226
11. Blattner WA (1989) Retroviruses. In: Evans AS (ed) Virus infeetions ofhumans, 3rd edn. Plenum, New York, pp 545-592
12. Homma T, Kanki PJ, King NW Jr, et al. (1984) Lymphoma in macaques: Association with virus of human T lymphotrophic family. Science 225.716
13. Hunsmann G, Schneider J, Schmitt J, Yamamato N (1983) Detection of serum antibodies to adult T -cellleukemia virus in non-human primates and in people from Africa. Int J Cancer 32: 329
14. Miyoshi T, Yoshimoto S, Fujishita M, et al. (1982) Natural adult T -cell leukemia virus infection in Japanese monkeys. Lancetii:658
15. Poiesz BJ, Ruscetti FW, Gazdar AF, et al. (1980) Detection and isolation of type C retrovirus particles from fresh and cultured lymphocytes of a patient with cutaneous T -celllymphoma. Proc Natl Acad Sci USA 77:7415
16. Poiesz BJ, Ruscetti FW, Reitz MS, et al. (1981) Isolation of a new type C retrovirus (HTL V) in primary uncultured cells of a patient with Sezary T -cell leukemia. Nature 294:268
17. Tschachler E, Robert-Guroff M, Gallo RC, Reitz MS Jr (1989) Human Tlymphotropic virus I-infected T cells constitutively express Iymphotoxin in vitro. Blood 73.194
18. Gessain A, Barin F, Vernant JC, et al. (1985) Antibodies to human T-Iymphotropic virus type-1 in patients with tropical spastic paraparesis. Lancet ii: 407
19. Gout 0, Baulac M, Gessain A, et al. (1990) Rapid development of myelopathy after HTL V -I infection acquircd by transfusion during cardiac transplantation. N Engl J Med 322:383
20. Jacobson S, Shida H, McFarlin DE, Fauci AS, Koenig S (1990) Circulating CD 8 + cytotoxic T lymphocytes specific for HTLV-I pX in patients with HTLV-I associated neurological disease. Nature 348:245
21. Sommerfelt MA, Williams BP, Chapham PR, et al. (1988) Human T cell leukemia viruses use a receptor determined by human chromosome 17. Science 242: 1557
22. Inoue J, Seiki M, Taniguchi T, et al. (1986) Induction of interleukin 2 receptor gene expression by p40x encoded by human T cell leukemia virus type 1. EMBO J 5: 2883
23. Cross SL, Feinberg MB, Wolf JB, et al. (1987) Regulation of the human interleukin-2 receptor alpha chain promoter: activation of a nonfunctional promoter by the transactivator gene of HTL V -I. Cell 49.47
24. Jarrett WFH, Crawford EM, Martin WB, Davie F (1964) Virus-Iike particles associated with leukaemia (lymphosarcoma). Nature 202:567
25. Jarrett W, Jarrett 0, Mackey L, et al. (1973) Horizontal transmission of leukemia virus and leukemia in the cat. J Natl Cancer Inst 51:833
26. Gartner S, Markovits P, Markovits D, et al. (1986) The role of mononuclear phagocytes in HTL V -III/LA V infection. Science 233.215
27. Gartner S, Markovits P, Markovits D, Betts R, Popovic M (1986) Virus isolation from and identification of HTL V III/LA V -producing cells in brain tissue from a patient with AIDS. JAMA 256.2365
28. Koenig S, Gendelman HE, Orenstein JM, et al. (1986) Detection of AIDS virus in macro phages in brain tissue from AIDS patients with encephalopathy. Science 233.1089
29. Rappersberger K, Gartner S, Schenk P, et al. (1988) Langerhans' cells are an actual site of HIV-l replication. Intervirology 29:185
30. Hahn BH, Gonda MA, Shaw GM, et al. (1985) Genomic diversity of the acquired immune deficiency syndrome virus HTLV-Ill: different viruses exhibit greatest divergence in their envelope genes. Proc Natl Acad Sci USA 82:4813
31. Hahn BH, Shaw GM, Taylor ME, et al. (1986) Genetic variation in HTLVIll/LA V over time in patients with AIDS or at risk for AIDS. Science 232:1548
32. Robert-Guroff M, Reitz MS Jr, Robey WG, Gallo RC (1986) In vitro generation of an HTLV-1ll variant by neutralizing antibody. J Immuno1137:3306
33. Reitz MS Jr, Wilson C, Naugle C, Gallo RC, Robert-Guroff M (1988) Generation of a neutralization-resistant variant of HIV-1 is due to selection for a point mutation in the envelope gene. Cell 54: 57
34. Bartholomew C, Blattner W, Cleghorn F (1987) Progression to AIDS in homosexual men co-infected with HIV and HTL V -I in Trinidad. Lancet ii: 1469
35. Robert-Guroff M, Gallo RC (1991) The interaction of human T -cell leukemia and human immunodeficicncy retroviruses. In Srivastava R, Ram BP, Tyle P (eds) Molecular mechanisms of immune regulation, VCH, New York, pp 233-249
36. Lusso P, Lori F, Gallo RC (1990) CD4independent infection by human immunodeficiency virus type 1 after phenotypic mixing with human T -cell leukemia viruses. J Virol 64:6341
37. Salahuddin SZ, Ablashi DV, Markham PD, et al. (1986) Isolation of a new virus, HBL V, in patients with Iymphoproliferative disorders. Science 234: 596
38. Lusso P, Ensoli B, Markham PD, et al. (1989) Productive dual infection of human CD4+ T lymphocytes by HIV-l and HHV-6. Nature 337:370 39. Ensoli B, Lusso P, Schachter F, et aJ. (1989) Human herpes virus-6 increases HIV -I expression in coinfected T cells via nuclear factors binding to the HIV-I enhancer. EMBO J 8:3019
40. Lusso P, DeMaria A, Malnati M, et al. (1991) Induction of CD4 and susceptibility to HIV-I infection in human CD8+ T lymphocytes by human herpesvirus 6. Nature 349:533
41. Nakamura S, Salahuddin SZ, Biberfeld P , et al. (1988) Kaposi's sarcoma cells: longterm culture with growth factor from retrovirus-infected CD4 + T cells. Science 242:426
42. Salahuddin SZ, Nakamura S, Biberfeld P, et al. (1988) Angiogenic properties of Kaposi's sarcoma-derived cells after Jongterm culture in vitro. Science 242:430
43. Weich MA, Salahuddin SZ, Gill P, Nakamura S, Gallo RC, FoJkman J (1991) AIDS-Kaposi's sarcoma-derived cells in Jong-term culture express and synthesize smooth muscle a-actin. Am J Pathol 139: 1251
44. Ensoli B, Nakamura S, Salahuddin SZ, et al. (1989) AIDS-Kaposi's sarcome-derived cells express cytokines with autocrine and paracrine growth effects. Science 243: 223
45. Ensoli B, Barillari G, Salahuddin SZ, Gallo RC, Wong-Staal F (1990) Tat protein of HIV -I stimulates growth of cells derived from Kaposi's sarcoma lesions of AIDS patients. Nature 345: 84